down white circle arrow down black circle arrow
Online Booking 020 7043 3007 down white circle arrow down gold circle arrow WhatsApp down white circle arrow down gold circle arrow
020 7043 3007 down white circle arrow down gold circle arrow WhatsApp down white circle arrow down gold circle arrow Online Booking left white circle arrow down gold circle arrow
down white circle arrow down black circle arrow
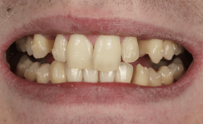
Before - Bond Dental London After -Bond Dental London

Case 9 – Veneers, Bridges, Whitening

This patient had already completed Invisalign® treatment elsewhere before coming to us. At Bond Dental, the next stage focused on restoring the smile.

Whitening was used to create a consistent shade, porcelain veneers were used on selected upper and lower front teeth to refine shape and balance, and two bridges at the upper canines restored continuity and function.

This treatment was completed over multiple visits.

Book a Consultation Today

Take the first step towards a healthier smile. Schedule a consultation with our professional team. It's quick, easy, and convenient to book online. We're here to help you achieve your dental goals!

Online Booking left white circle arrow down gold circle arrow
google rating
google rating
google rating
google rating

We Accept All Dental Insurances