down white circle arrow down black circle arrow
Online Booking 020 7043 3007 down white circle arrow down gold circle arrow WhatsApp down white circle arrow down gold circle arrow
020 7043 3007 down white circle arrow down gold circle arrow WhatsApp down white circle arrow down gold circle arrow Online Booking left white circle arrow down gold circle arrow
down white circle arrow down black circle arrow
Before - Bond Dental London After -Bond Dental London

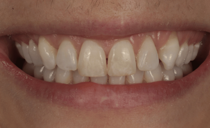
Case 4 – Invisalign®, Whitening, Veneers

This patient completed a short course of Invisalign® to gently straighten the front teeth and create a more even smile.

Bond Whitening was then used to brighten the overall shade, and porcelain veneers were placed on the four upper front teeth to refine the shape, smooth the edges and bring balance to the smile.

This treatment took 6 months.

Book a Consultation Today

Take the first step towards a healthier smile. Schedule a consultation with our professional team. It's quick, easy, and convenient to book online. We're here to help you achieve your dental goals!

Online Booking left white circle arrow down gold circle arrow
google rating
google rating
google rating
google rating

We Accept All Dental Insurances