down white circle arrow down black circle arrow
Online Booking 020 7043 3007 down white circle arrow down gold circle arrow WhatsApp down white circle arrow down gold circle arrow
020 7043 3007 down white circle arrow down gold circle arrow WhatsApp down white circle arrow down gold circle arrow Online Booking left white circle arrow down gold circle arrow
down white circle arrow down black circle arrow
Before - Bond Dental London After -Bond Dental London

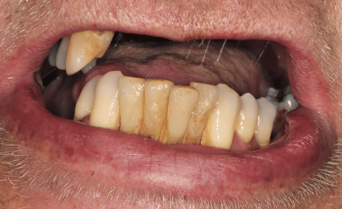
Case 12 - Dental Implants, Extractions

This patient had extensive damage and decay, leaving many teeth unreparable. A treatment plan was carried out to extract 15 teeth, after which full upper and lower implants were provided to restore function, appearance, and comfort.

Book a Consultation Today

Take the first step towards a healthier smile. Schedule a consultation with our professional team. It's quick, easy, and convenient to book online. We're here to help you achieve your dental goals!

Online Booking left white circle arrow down gold circle arrow
google rating
google rating
google rating
google rating

We Accept All Dental Insurances